What Is the Process of Wisdom Teeth Removal in Brentwood?
Wisdom teeth are the last set of molars to develop, and they often create problems when there is not enough room for them to grow properly. Many patients experience discomfort, swelling, or pressure in the back of the mouth as these teeth begin to emerge. Understanding the process involved can help reduce anxiety and make it easier to prepare for treatment with confidence.
In a previous blog, we discussed the benefits of choosing professional care for wisdom tooth removal. In this blog, we explain the step-by-step process so patients know what to expect before, during, and after treatment.
Why Timely Removal Matters
Delaying treatment can lead to pain, infection, swelling, cysts, and damage to nearby teeth. In many cases, wisdom teeth removal in Brentwood is recommended before these issues become more serious and more difficult to manage. Early treatment can help protect your oral health, prevent crowding, and reduce the risk of future complications that may require more extensive care.
-
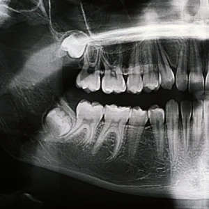
Initial Consultation and Evaluation
The process usually begins with a full dental examination at a trusted dental office in Brentwood. During this visit, the dentist or oral surgeon will evaluate your teeth and gums and take digital X-rays to check the position of the wisdom teeth. This helps determine whether they are impacted, partially erupted, or likely to create future problems. Based on the results, your provider will explain the treatment plan, discuss sedation options, and give instructions to help you prepare.
-
Preparing for the Procedure
Preparation is an important part of ensuring a smooth and safe experience. Before the procedure, patients may be asked to avoid food and drink for a certain number of hours if sedation will be used. Your dentist may also advise arranging a ride home and temporarily avoiding specific medications if needed. These steps are meant to support comfort, reduce risks, and help the treatment go as planned.
-
The Wisdom Teeth Removal Procedure
On the day of the appointment, the dental team will first make sure you are comfortable by using local anesthesia, sedation, or general anesthesia depending on your needs. Once the area is numb, the dentist will carefully remove the tooth. If the tooth is impacted, a small opening may be made in the gum to access it more easily. In some cases, the tooth is divided into smaller pieces to allow for gentler removal. After the extraction, the site is cleaned and stitches may be placed to help the area heal properly.
-
Recovery and Aftercare
After the procedure, it is normal to have mild swelling, soreness, and minor bleeding for a few days. Patients are usually advised to rest, use ice packs, eat soft foods, and avoid strenuous activity during the early healing period. Good aftercare also includes following all cleaning instructions and taking any recommended medication as directed. These steps can lower the risk of dry socket, reduce discomfort, and support a faster recovery.
Conclusion
Knowing what to expect from each step of the process can make treatment feel much less overwhelming. From the initial evaluation to the healing period afterward, every stage is focused on protecting your comfort and long-term oral health. In some cases, maintaining proper alignment after extractions can also support treatments like cosmetic dentistry in Brentwood. For expert care and personalized guidance, contact a trusted dental team today at 925-778-1998.
